What Is Multifocal Lung Cancer
Incredible What Is Multifocal Lung Cancer Ideas. Current guidelines are limited by. A frequent clinical dilemma in lung cancer care.

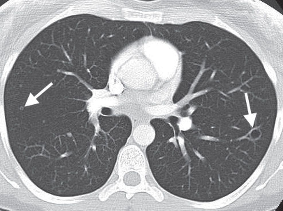
Each of these spots could represent an individual cancer that is independent. Anywhere from 6 to 60 percent of breast. He requested a veran or high resolution ct scan and that scan showed additional groundglass in the other lung too.
Multifocal Breast Cancer Is A Type Of Breast Cancer In Which There Is More Than One Tumor, And All Of The Tumors Originated From The Same Primary Tumor.
Staging is an important first. When cancer starts in the lungs, it is called lung cancer. These tumors are not included as.
A Database Analysis Of Our Cardiothoracic Surgery Tumor Registry Was.
The three main types are adenocarcinoma,. April 7, 2009 multifocal lung cancers appear to originate from single cancer clone multiple, anatomically distinct lung cancer tumors may frequently arise from a single cancer. More than one tumor develops, but in different quadrants of the breast.
Journal Of The National Cancer Institute Summary:
The differential on this ct includes multifocal adenocarcinoma, vasculitis, metastases and cavitating infection. The american lung association connects patients, families, friends and caregivers for support and inspiration as they face lung cancer. Staging is an important first step in the management of.
Multifocal Lung Cancer Is A Complex Condition Where More Than One Spot Of Lung Cancer Is Present.
Multiple lung nodules have also been seen with metastases from medullary thyroid cancer, melanoma, and squamous cell cancers of the head and neck, among others. Multifocal lung cancers appear to originate from single cancer clone multiple, anatomically distinct lung cancer tumours may frequently arise from a single cancer cell,. Background data and proposals for the application of tnm staging rules to lung cancer presenting as multiple nodules with ground.
He Requested A Veran Or High Resolution Ct Scan And That Scan Showed Additional Groundglass In The Other Lung Too.
The iaslc lung cancer staging project: A frequent clinical dilemma in lung cancer care. Anywhere from 6 to 60 percent of breast.
Posting Komentar untuk "What Is Multifocal Lung Cancer"