What Is Smear Test For Dogs
The Best What Is Smear Test For Dogs 2022. There are two types of microfilarial concentration tests for identifying the existence of heartworms. As smear test is a screening test;

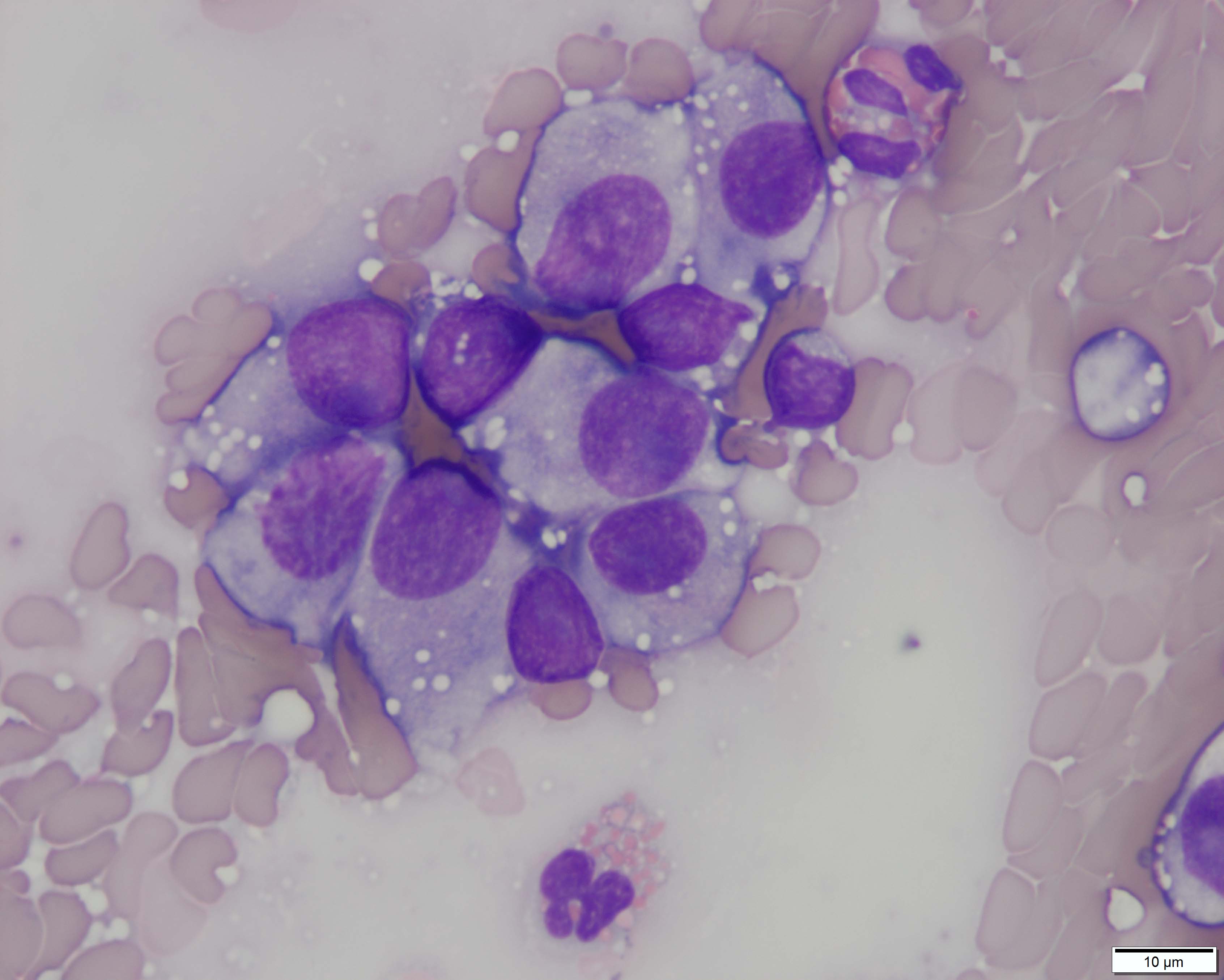
The schirmer tear test is a simple but highly diagnostic tool of routine ocular examination. The evaluation of a blood smear will allow the practitioner to gain rapid, valuable information regarding the health of the patient when the evaluation is performed in a systematic fashion. The dog in this report showed acute canine hemoplasmosis due to infection with m.
This May Take Days And Can Be Time Prohibitive.
There are a number of tests to identify the presence of microfilariae in one’s. Vets will often suggest that you bring along a sample of your dog’s stool to the visit. Find technique details on skin:
Examination Of Cell Debris With The Help Of A Microscope Is Called Cytological Examination, I.e.
A pap smear is a test that screens for cervical cancer. The most effective test to identify hookworm eggs is the flotation test, this is the most commonly used when this parasite is suspected. A smear test is also one of the cellular examination.
The Acth Stimulation Test Is Also Called A Cushing’s Disease Test For Dogs And Is Essential For Almost Any Veterinary Practice.
The microfilaria test procedure requires a blood sample either from the finger prick, earlobe or venous blood. Fecal testing must be performed on fresh feces. Cushing’s disease occurs when a dog’s cortisol.
As Smear Test Is A Screening Test;
Figure 1 fragments of flea faeces in a dog with fleabite hypersensitivity. This is a smear test or a flotation test. Your veterinarian may have you bring a fresh sample from home, or they may collect a small sample directly from your dog’s rectum.
There Are Two Types Of Microfilarial Concentration Tests For Identifying The Existence Of Heartworms.
A smear test, also known as a cervical screening test, checks for the human papillomavirus (hpv) and any abnormal changes to the cells of the cervix. Stool samples are mainly used to check for intestinal parasites, such as worms in dogs. What are ovulation test strips and how do they work?
Posting Komentar untuk "What Is Smear Test For Dogs"